日本研究新发现:长白发或是身体对抗癌症的自我保护机制
你是否曾为镜中新增的白发感到困扰?一项来自东京大学的研究可能会让你对白发有全新的认识。2025年10月6日,《自然-细胞生物学》杂志发表了一项突破性研究,揭示了头发变白与黑色素瘤(一种致命皮肤癌)之间可能存在的惊人联系——二者或许是同一生物学过程的两种不同结果。

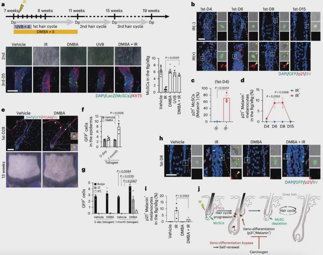
头皮下的毛囊是一个精密的“色素工厂”,其核心是黑素细胞干细胞(McSCs)。这些干细胞负责生成黑色素,决定头发的颜色。然而,随着年龄增长和外界压力(如紫外线、化学物质、细胞自然衰老)的累积,McSCs的DNA会遭受损伤,尤其是双链断裂。
当DNA损伤发生时,McSCs面临一个关键选择:是启动“衰老分化”程序(即自我耗尽),还是冒险继续增殖?研究显示,这一选择可能决定了细胞是走向“保护性牺牲”还是“癌变失控”。
传统观点认为,白发是黑素细胞干细胞衰老或消失的结果。但新研究发现,这可能是一种主动的防御机制。
当McSCs的DNA遭受严重损伤时,细胞会启动“衰老分化”程序,放弃干细胞身份,分化为普通色素细胞并迅速被身体清除。这一过程虽然导致头发变白,但可能避免了受损细胞演变为癌细胞。

简而言之,你失去了一根黑发,但身体可能避免了一场癌症!这种“舍车保帅”的策略,是基因中刻下的悲壮防御机制。
然而,并非所有McSCs都会选择“退休”。当细胞遇到致癌物时,保护程序可能被抑制。致癌物会诱导受损的McSCs维持自我更新能力,导致这些本应被清除的细胞不断增殖。
一个变两个,两个变四个……这些携带“癌变种子”的干细胞逐渐积累,最终可能引发黑色素瘤——一种高度致命的皮肤癌。

白发与黑色素瘤并非独立事件,而是同一干细胞在压力下走向的“对立命运”:
东京大学的研究通过小鼠实验证实了这一机制:黑素细胞干细胞在遭遇DNA损伤时,会主动选择衰老分化(表现为毛发变白),从而清除受损细胞,避免癌变。这一发现为理解人类白发提供了全新视角,但该机制是否完全适用于人类,仍需进一步研究。
研究人员强调,这项研究并不意味着长白发的人就“免疫”癌症。它只是揭示了导致白发的过程可能是一种强大的癌症防御机制。
因此,下次再为镜中的白发感到忧虑时,不妨这样想:
那可能是你的身体,刚刚打赢了一场你甚至都不知道的“细胞灭战”。
仅为科普:本文仅对单一前沿科研成果进行解读和科普,与医疗诊断无关。
原文为准:作者可能理解有限,准确信息请参考原始论文。
动物实验:研究成果源于小鼠实验,不等于对人体有效,远未进入临床应用。
遵从医嘱:任何健康问题请咨询专业医生,切勿自行决策。
理性期待:科学进步需要时间,请保持客观和耐心。

Mohri, Y., Nie, J., Morinaga, H. et al. Antagonistic stem cell fates under stress govern decisions between hair greying and melanoma.Nat Cell Biol27, 1647–1659 (2025).