哪捏!长白发竟然是身体在抗癌?
你是否曾为镜中逐渐增多的白发感到焦虑?一项来自东京大学的前沿研究可能会彻底改变你对衰老和癌症的认知。2025年10月6日,《自然-细胞生物学》期刊发表了一项突破性发现:头发变白与黑色素瘤(一种致命皮肤癌)之间,可能存在着一个惊人的因果关联——它们或许是同一个生物学过程的两种不同结局。

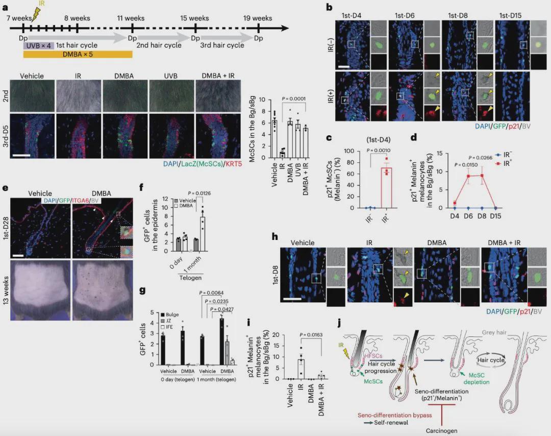
在头皮的微观世界中,每个毛囊都是一座精密的色素工厂。工厂的「核心管理者」是黑素细胞干细胞(McSCs),它们掌控着头发颜色的生成。然而,随着年龄增长和外界压力(如紫外线、化学物质或细胞自然衰老)的累积,这些干细胞会遭遇DNA损伤的威胁。
当DNA双链断裂等严重损伤发生时,McSCs面临一个关键抉择:是继续增殖(可能引发癌变),还是启动自我清除程序?研究发现,这一选择并非随机,而是身体精心设计的防御机制。
传统观点认为,白发是干细胞衰老消失的结果。但新研究揭示,这可能是一种主动的「舍车保帅」策略。
当McSCs检测到不可逆的DNA损伤时,会触发「衰老分化」程序:放弃干细胞身份,转化为普通色素细胞并迅速被免疫系统清除。这一过程虽然导致头发变白,却避免了受损细胞持续复制、最终癌变的风险。

「你失去了一根黑发,但身体可能避免了一场癌症。」研究人员指出,白发并非单纯的衰老标志,而是基因编码的「牺牲式防御」——通过主动耗尽受损干细胞,降低癌症发生概率。
然而,当McSCs遭遇致癌物质(如某些化学诱变剂)时,结局可能截然相反。这些物质会抑制「衰老分化」程序,诱导受损干细胞维持自我更新能力。
于是,本应被清除的DNA损伤细胞开始疯狂增殖,形成携带癌变潜力的细胞群。随着时间推移,毛囊中的「小工厂」可能演变为黑色素瘤的「大魔窟」。

白发与黑色素瘤,本质上是同一类干细胞在压力下的两种对立命运:
东京大学通过小鼠实验证实,当黑素细胞干细胞遭遇DNA损伤时,会优先选择衰老分化(表现为毛发变白),从而清除潜在癌变细胞。这一机制为理解人类白发提供了新视角,但其在人体中的完全一致性仍需进一步验证。
研究人员强调,该发现不意味着长白发的人必然「免疫」癌症。它揭示的是:导致白发的生物学过程本身,可能是一种强大的癌症预防机制。下次面对镜中白发时,不妨将其视为身体默默进行的「细胞保卫战」。

参考文献:
Mohri, Y., Nie, J., Morinaga, H. et al. Antagonistic stem cell fates under stress govern decisions between hair greying and melanoma. Nat Cell Biol 27, 1647–1659 (2025). https://doi.org/10.1038/s41556-025-01529-5