扫描打开手机站
随时逛,更方便!
当前位置:首页 > 赛场风云

男乘客列车上铺跌落砸伤10岁女孩致骨折,母亲将通过法律维权

时间:2025-10-05 20:33:04 来源:红星新闻 作者:红星新闻

近日,朱女士在社交平台上发帖称,今年8月,她带着10岁的女儿乘坐火车时,一名男乘客从上铺跌落,砸中了睡在下铺的女儿,导致孩子右股骨骨折。尽管男乘客曾陪同前往医院,但在孩子手术后失去联系,朱女士表示将通过法律途径维护权益。


朱女士的女儿在救护车上(受访者供图)

列车上铺乘客跌落,砸断下铺10岁孩子腿骨

9月30日,朱女士向媒体透露,8月24日,她带着女儿乘坐列车前往杭州,母女二人均睡在下铺。凌晨1点左右,火车即将停靠无锡站时,朱女士被女儿的哭声惊醒,发现一名身材高大的男乘客站在旁边,女儿哭喊着腿疼。列车工作人员闻讯赶来后,迅速联系了警方和救护车。火车停靠后,朱女士和男乘客一起将孩子送往无锡的医院。

据男乘客描述,火车快到无锡站时,他准备下车,从上铺下来后,想起眼镜忘在铺位上,便又爬回床铺。此时,列车晃动了一下,他未能抓稳,跌落下来砸中了女孩。

医院病历显示,8月24日凌晨,朱女士的女儿因右股骨骨折入院,需住院进一步治疗。


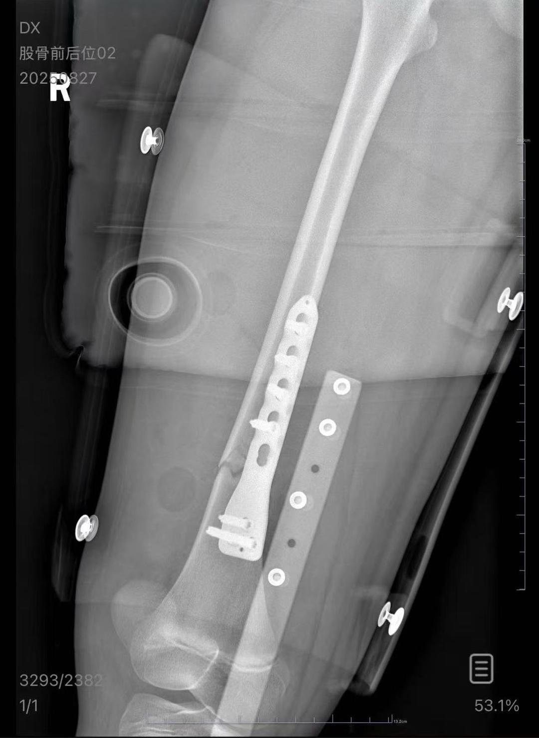
朱女士女儿手术后拍的X光片(受访者供图)

报警回执显示,8月24日凌晨2点22分,上海铁路公安处无锡站派出所接到报案,称某列车上即将到无锡站时,上铺乘客下床时未抓稳,导致孩子大腿骨折。

朱女士表示,起初男乘客态度积极,陪同前往医院并垫付了住院押金,还为孩子购买了护理用品。但女儿手术后第二天,男乘客发信息称要回去筹钱,随后便几乎不再回应。9月上旬,男乘客接了一次电话,让朱女士发送医疗票据,之后便彻底失去联系。

朱女士称,女儿平时爱好游泳,事发前腿部从未受过伤。如今,女儿吃饭、上厕所、学习都只能平躺在床上,情绪低落。后续康复治疗漫长,且不确定是否会有后遗症。她表示理解男乘客并非故意,但对方失联的行为让她无法接受,目前准备通过法律途径维权。

10月4日,无锡站相关工作人员证实,朱女士的女儿确实受伤,车站工作人员提供了协助。上海铁路公安处无锡站派出所也确认当天接到报案,但具体情况不便透露。记者拨打当事男乘客电话,未获回应。


朱女士女儿的门诊病历(受访者供图)

律师分析:朱女士该如何为女儿维权?

陕西恒达律师事务所高级合伙人、公益律师赵良善认为,根据《民法典》第1165条规定,行为人因过错侵害他人民事权益的,应当承担侵权责任。男乘客在火车上爬下上铺时未抓稳导致跌落砸伤女孩,存在一定过错,应承担侵权责任。

赵良善指出,根据《民法典》第1198条规定,公共场所的经营者、管理者未尽到安全保障义务,造成他人损害的,应当承担侵权责任。如果铁路方在列车行驶过程中未充分履行安全保障义务,如存在异常晃动等情况,导致乘客跌落砸伤女孩,铁路方需承担相应补充责任。但如果铁路方能证明已尽到安全保障义务,如列车运行正常,男乘客跌落是其自身原因导致,则铁路方不需承担责任。

赵良善建议,朱女士可先与男乘客和铁路方协商解决,要求承担医疗费用等损失。如协商不成,可向铁路运输法院提起诉讼。同时,要注意保留相关证据,如医院诊断证明、病历、医疗费发票、列车监控视频、证人证言等。

赵良善还提到,如果朱女士为女儿购买了铁路乘意险,或自己购买的其他意外险包含火车上受伤的保障范围,可根据保险合同约定向保险公司申请报销。此外,如果男乘客购买了铁路乘意险,其个人第三者责任保险部分也可对女孩受伤进行赔偿。

河南泽槿律师事务所主任付建认为,男乘客在火车上爬下铺时未抓稳,跌落砸到女孩,存在过错,应承担侵权责任。

付建表示,《民法典》规定,承运人应当对运输过程中旅客的伤亡承担赔偿责任,但伤亡是旅客自身健康原因造成的,或承运人证明伤亡是旅客故意、重大过失造成的除外。如列车行驶过程中存在异常晃动等情况,导致男乘客跌落砸伤女孩,铁路方或也需承担相应赔偿责任。

红星新闻记者 王语琤